Владивостокские врачи вытащили из организма пожилой женщины крупных паразитов. Накануне женщина поела домашней селёдки, купленной у частных продавцов. Об этом передаёт Prim.News со ссылкой на пресс-службу регионального минздрава.
В в Приморскую краевую клиническую больницу №1 обратилась пожилая дама с мучительными болями в животе. Пациентку направили на процедуру гастроскопии.
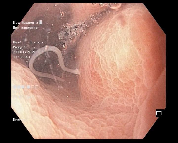
Эндоскописты диагностировали анизакидоз — паразитарное заболевание, возникающее при употреблении недостаточно обработанных термически рыбы и морепродуктов. Оказалось, что в желудке женщины были обнаружены два длинных гельминта длиной около 4 см каждый. Паразитов быстро удалили специальными инструментами.

Данное заражение может иметь последствия не только в виде стильных болевых ощущений, но и привести к серьёзным осложнениям, например, к перфорации кишечника, в также перитонита. Об этом сообщила врач-эндоскопист, главный эндоскопист Приморья Екатерина Кочергина.
Рассказано, что накануне женщина лакомилась слабо просоленной селёдкой, приобретённой у продавцов на рынке. Сразу после избавления от червей пациентка ощутила улучшение самочувствия и отправилась домой, не нуждаясь в госпитализации.
Врачи призывают помнить, что обычная домашняя засолка не уничтожает личинки паразитов, а наиболее опасны сырые рыба и морепродукты. Безопасность обеспечивают лишь глубокая промышленная заморозка и качественная тепловая обработка.
Минздрав Приморья рекомендует воздерживаться от приобретения рыбы и морепродуктов с рук и в ненадёжных точках продажи.
При возникновении неприятных ощущений в желудке, рвоты, тошноты и ощущения слабости обращайтесь к врачу незамедлительно.
