Медики Приморской краевой клинической больницы № 1 впервые в своей практике провели сложнейшую операцию по лечению редкого заболевания — ретроперитонеального фиброза (болезнь Ормонда), спасая 24-летнюю пациентку, сообщает пресс-служба минздрава Приморья.
Редкая патология проявляется длительным воспалительным процессом в забрюшинном пространстве, приводящем к образованию плотной соединительной ткани, которая сжимает жизненно важные структуры организма, такие как почки, мочеточники и кровеносные сосуды.
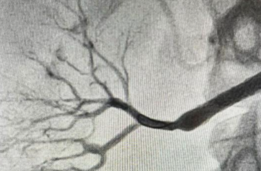
Пациентка поступила в Региональный сосудистый центр с резкими скачками артериального давления. Исследование компьютерной томографии показало критический стеноз правой почечной артерии, практически полностью заблокированной фиброзной тканью.
Впервые столкнулись с болезнью Ормонда в своей практике, — подчеркивает рентгенэндоваскулярный хирург Вячеслав Воробьёв. — По результатам детальной диагностики, подтвердившей функциональность почки, было решено срочно проводить оперативное лечение, иначе пациентка рисковала потерять орган.
Для уникальной процедуры медики использовали специальный индивидуально изготовленный стент, выдерживающий высокие нагрузки. Сложнейшая операция продолжительностью около 30 минут прошла успешно под руководством завотделением рентгенохирургических методик Никиты Грачева.
Врач Вячеслав Воробьёв ранее помогал семье пациентки. Весной текущего года он экстренно спас мать девушки, остановив тяжелое кровотечение, возникшее спустя десятилетие после перенесенной ею операции на легких.
